English
Japan
定制分析,随时响应,持续更新
多样分析技术,全面研发指导
生物分析平台主要由ELISA检测平台、FACS检测平台、组织病理平台和分子检测平台组成,其中ELISA检测平台可以提供PK方法开发和验证(Non-GLP)、动物PK/ADA/Nab样品分析和多样化的生物标志物检测;FACS检测平台可以进行抗原抗体亲和力检测、受体占位和TILs;组织病理平台提供包括H&E染色分析、免疫组化、免疫荧光、RNA Scope和TCR等;分子检测平台提供包括Sanger测序、Q-PCR、基因分型、分子分型和免疫分型等研究。多样性的生物分析方法,助力生物药成药性及其作用机制的探索。
多种多样的分析方法
有竞争力的检测周期
提供CGT等新型药物检测技术
《临床前体内药理研究服务手册》全新上线,欢迎点击下载!New!
肿瘤浸润淋巴细胞(tumor infiltrating lymphocyte, TILs)主要由单核细胞和多核免疫细胞组成(即:T细胞、B细胞、NK细胞,DC细胞等),其多样性因肿瘤类型和阶段而异,并且与疾病预后有一定的相关性,因此在药理药效研究中是很重要的监测指标。蓬勃体内药理有多种固定TIL Panel检测服务,也能承接客户定制化TIL检测。
组织芯片继基因芯片、蛋白质芯片之后出现的又一种重要的生物芯片,主要用于研究同一种基因或蛋白质分子在不同细胞或组织中表达的情况。人肿瘤组织芯片,高通量的体内肿瘤模型筛选路径;覆盖(几乎)100%肿瘤适应症,80+肿瘤动物模型,200+储备肿瘤细胞库,一站式体内药效评估,以终为始,贯穿药物发现全流程,提高药物发现成功率。
在抗体药体内免疫原性检测试验中,同等剂量下,受试物产生抗药抗体的水平与阳参接近且与剂量成正比。
基于竞争性ELISA法,开发中和抗体滴度的检测方法,在疫苗免疫筛选的试验中,用此方法,筛选出中和抗体滴度高的疫苗。
细胞因子释放综合征 (CRS) 是一系列症状,会作为某些类型的免疫治疗的副作用产生,特别是涉及 T 细胞的副作用。当免疫细胞被激活并释放大量细胞因子进入体内时,就会出现这种综合征。CRS检测可以通过过ELISA、FACS(CBA)、MSD等平台单通道或多通道检测。蓬勃生物具有完整的三类CRS检测平台。在CAR-T药效试验中,伴随CRS检测,发现高剂量组的CAR-T引起了细胞因子风暴。
受体占位(Receptor Occupancy;RO)是检测抗体类药物对细胞表面靶点占据的程度,是评价药物与受体结合的重要研究内容。受体占有率检测的价值在于,可以通过少量的外周血样本,直观反映某一时刻药物对靶点作用的程度;作为一个药效学(PD)生物标记物数据可以与传统的药代动力学(PK)评估相结合,广泛的应用于PK/PD模型建立。此外,受体占有率分析可以辅助临床人体首剂量的选择、药效的剂量、给药周期和RP2D(二期临床推荐使用剂量)的确定等。
5 μg/mL和1 μg/mL单抗药物分别饱和食蟹猴WBC和人WBC受体靶点
双抗三聚体受体占位
组织病理学是临床前体内药理研究中不可缺少的部分,在药效学评价、药物组织分布和毒性把器官评价等方面均可应用。组织病理学常见检测技术有细胞切片染色(H&E染色)、免疫组化、免疫荧光、RNA Scope等。蓬勃生物体内药理可为您提供下方所示的组织病理学分析,欢迎您随时来询!
苏木精 — 伊红染色法 ( hematoxylin-eosin staining ) ,简称H&E染色法 ,石蜡切片技术里常用的染色法之一,我们可对试验动物所有组织进行石蜡包埋、切片及HE染色试验,由病理专家对染色结果做出专业性判断,并出具病理报告。
脾组织 HE染色 400×
肾组织 HE染色 400 ×
心脏组织 HE染色 400 ×
肿瘤组织 HE染色 400 ×
肺组织 HE染色 400 ×
肝组织 HE染色 400 ×
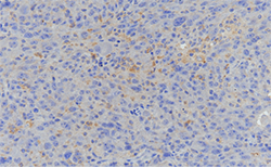
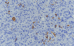
免疫组织化学法(IHC)是指利用抗体与组织中的抗原特异性结合的原理来检测组织切片细胞中的抗原。病理分析平台具备对常见的免疫检查点、肿瘤相关抗原及免疫细胞的免疫组化检测能力,并可根据项目需要开发相应靶点的可重复的免疫组化方法。
CD3e IHC 400 ×
CD8 IHC 400 ×
CD25 IHC 400 ×
PDL1 IHC 400 ×
CD69 IHC 400 ×
KI67 IHC 400 ×
免疫荧光(IF)是一种用于检测以及识别细胞和组织中蛋白质和其他分子的亚细胞分布和迁移的检测技术。平台具备常见的免疫检查点及免疫细胞的多色免疫荧光检测能力,并可根据项目需要开发相应靶点的可重复的多色免疫荧光方法。
CD3(红) IF 400 ×
CD8(绿) IF 400 ×
CD3(红) &CD8(绿) IF 400 ×
CGT药物研究中,可通过RNA Scope检测病毒载体中WPRE等元件来确认病毒定植位点及表达丰度。 RNA Scope可实现单一RNA分子的可视化及量化分析。平台可根据不同靶点设计不同的检测探针,助力客户新药研发。
眼 RNA Scope 400 ×
肝脏 RNA Scope 400 ×
肌肉 RNA Scope 400 ×
* 我同意使用条款和隐私政策
我同意接收最新的新闻、信息、宣传、网络研讨会和服务,并承认我可以随时取消订阅